歯茎下がり 画像 (294 無料画像)

x

歯茎が下がる原因を知って、改善したい。またはそうならないように予防したい! - 千葉市稲毛区 かずなか歯科クリニックのブログ。

好きです: 311

歯茎下がり,歯茎がやせた方への歯茎の再生藤沢の歯医者 菅井歯科医院インプラント・歯周病治療。

好きです: 45

歯肉が下がっている・ 根面被覆について – 石神井公園 歯医者 – たけのうち歯科クリニック。

好きです: 318

歯ぐきが下がる原因は?年齢のせい?自由が丘の歯医者・歯科自由が丘デンタルケア痛みのない質の高い治療。

好きです: 298

専門医監修 歯肉退縮とは?3大原因や進行を食い止める方法を解説ミライズ矯正歯科南青山。

好きです: 483

歯茎が下がった時の戻し方・治療法西田辺 阿倍野区 の歯医者 歯周病西田辺えがしら歯科。

好きです: 314

歯ぐきが下がる」の写真素材150件の無料イラスト画像Adobe Stock。

好きです: 142

歯ぐき下がり 歯肉退縮 は治ります根面被覆術大阪で歯茎下がり治療の実績で選ぶなら当院へ。

好きです: 249

gum-up。

好きです: 113

歯茎が下がる!歯肉退縮の原因と治療法マイクロスコープ歯科 歯の神経抜かない歯医者 東京 池袋 友和デンタルクリニック。

好きです: 86

下の前歯の裏の歯茎も回復できる場合があります。 - 神田ふくしま歯科。

好きです: 214

歯肉退縮している方の矯正治療 – 東京で矯正歯科治療は東京日本橋AQUA歯科・矯正歯科包括CLINIC日本橋駅徒歩4分、三越前駅直結。

好きです: 321

歯肉退縮治療 歯茎の再生- 原因・症例・放置のリスク大阪つつい歯科・矯正歯科。

好きです: 245

歯茎が下がる原因は日常生活の意外なことが理由かも!? - HA!PPYハッピー。

好きです: 308

矯正治療と歯茎さがり 歯肉退縮 について。

好きです: 81

歯列矯正後に歯茎が下がる「歯肉退縮」とは?渋谷の矯正歯科なら渋谷ルーブル歯科・矯正歯科。

好きです: 280

歯科コラム高田馬場駅前デンタルクリニック東京都新宿区高田馬場の歯科JR山手線、東京メトロ東西線、西武新宿線「高田馬場」駅より徒歩1分・駐車場台完備・土日祝も診療中。

好きです: 483

歯の裏側の歯茎が下がった!下の前歯の裏の歯茎も回復できる場合があります。 下の前歯の裏側の歯茎が薄いな〜と感じていませんか? 歯茎 が薄い方は、いろいろなところの歯茎が下がってしまいます。治療が難しい場合もありますが、例えば下の前歯の裏側の歯茎が下がって。

好きです: 436

歯茎下がりの症状レベルをチェック!最適な治療法・費用・歯医者の選び方 - 東戸塚の歯医者おかざき歯科クリニック横浜市東戸塚駅のインプラント、セラミック審美歯科、矯正歯科治療の歯医者。

好きです: 417

歯周病 歯ぐきの腫れ 膿 歯茎下がる 後退 歯グラグラ 動揺 丸亀市歯周病検診。

好きです: 204

歯茎下がりの治療が上手な歯医者なら池袋駅東口つのり歯科-歯周病専門医による治療相談OK。

好きです: 102

歯肉移植で下がった歯ぐきをとりもどす治療について知ってほしい3つのこと - ヴェリ歯科クリニック。

好きです: 179

下がった歯茎 歯肉退縮 の治療 茨木市の歯医者「てらい歯科クリニック」 - 茨木市の歯医者「てらい歯科クリニック」。

好きです: 136

下顎前歯の歯ぐき下がりに対する治療 2023.03.25広島なぜ歯肉退縮が起こる?歯茎の後退広島市南区の自由診療専門歯科・三好デンタルオフィス。

好きです: 404

歯周病で下がった歯茎を手術せず治療歯を守って残す大阪梅田の歯科 ナチュラルクリニックOSAKA。

好きです: 69

歯肉退縮!?歯茎が下がる!しみる!根面被覆治療で解決しました。船橋駅3分の歯医者川手歯科医院。

好きです: 189

インプラントの歯茎が下がった場合の歯茎再生 - 神田ふくしま歯科。

好きです: 473

症例 矯正治療による歯茎下がりを歯茎の移植で改善目白・下落合の歯医者目白マリア歯科。

好きです: 251

歯ぎしりの症状 歯の欠け・顎の痛み・歯肉退縮 について解説。

好きです: 387

歯茎の下がりにより目立ってきた被せ物をメタルボンドブリッジにより回復した術例 - 岡田歯科医院。

好きです: 300

歯ぐきが下がる・痩せる 歯周病の症状 アメリカ歯周病専門医東京都江戸川区。

好きです: 253

歯ぐき下がり 歯肉退縮 は治ります根面被覆術大阪で歯茎下がり治療の実績で選ぶなら当院へ。

好きです: 465

歯肉退縮治療 歯茎の再生- 原因・症例・放置のリスク大阪つつい歯科・矯正歯科。

好きです: 251

歯肉が下がってしみる!ブログ詳細奥沢の歯科・歯医者「KEIデンタルクリニック」。

好きです: 448

下の前歯の裏側の歯茎が下がった場合 - 歯茎の再生で歯周病から歯を守る。

好きです: 408

歯ぐきが下がる・痩せる 歯周病の症状 アメリカ歯周病専門医東京都江戸川区。

好きです: 300

歯ぐきの下がりが原因でしみる 知覚過敏を根面被覆で解決。

好きです: 160

矯正治療によって歯茎が下がる?金山駅の歯医者金山ファイン歯科・矯正歯科。

好きです: 334

歯肉退縮している方の矯正治療 – 東京で矯正歯科治療は東京日本橋AQUA歯科・矯正歯科包括CLINIC日本橋駅徒歩4分、三越前駅直結。

好きです: 82

歯茎が下がってきた?歯肉退縮の原因と解決策を徹底解説。

好きです: 220

矯正治療で歯茎下がりが気になる方へ:治療前・後のケア完全ガイド。

好きです: 298

歯茎下がりの症状レベルをチェック!最適な治療法・費用・歯医者の選び方 - 東戸塚の歯医者おかざき歯科クリニック横浜市東戸塚駅のインプラント、セラミック審美歯科、矯正歯科治療の歯医者。

好きです: 75

矯正後の歯茎下がり 歯肉退縮歯茎の移植。

好きです: 106

歯肉の退縮によるむし歯で被せ物を作り直した症例木村歯科医院羽生市の痛くない歯科治療・予防歯科・審美歯科・インプラント。

好きです: 187

矯正後の歯茎下がり 歯肉退縮歯茎の移植。

好きです: 107

歯茎下がり 治療目白デンタルクリニック目白駅徒歩3分土日診療。

好きです: 358

歯茎下がりの症状レベルをチェック!最適な治療法・費用・歯医者の選び方 - 東戸塚の歯医者おかざき歯科クリニック横浜市東戸塚駅のインプラント、セラミック審美歯科、矯正歯科治療の歯医者。

好きです: 326

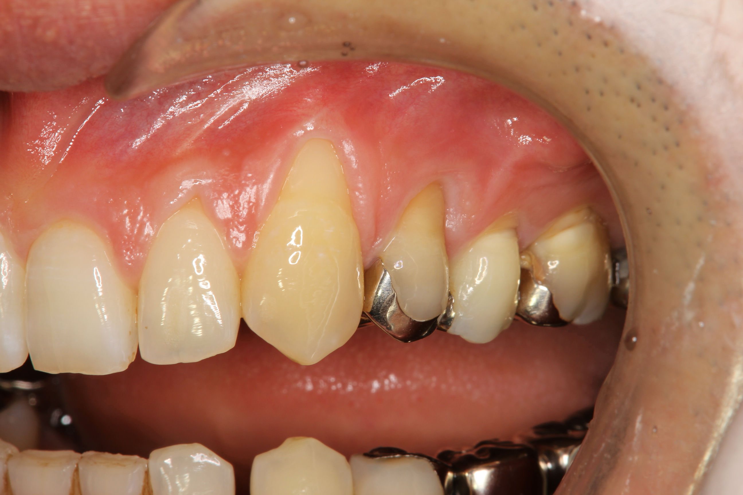
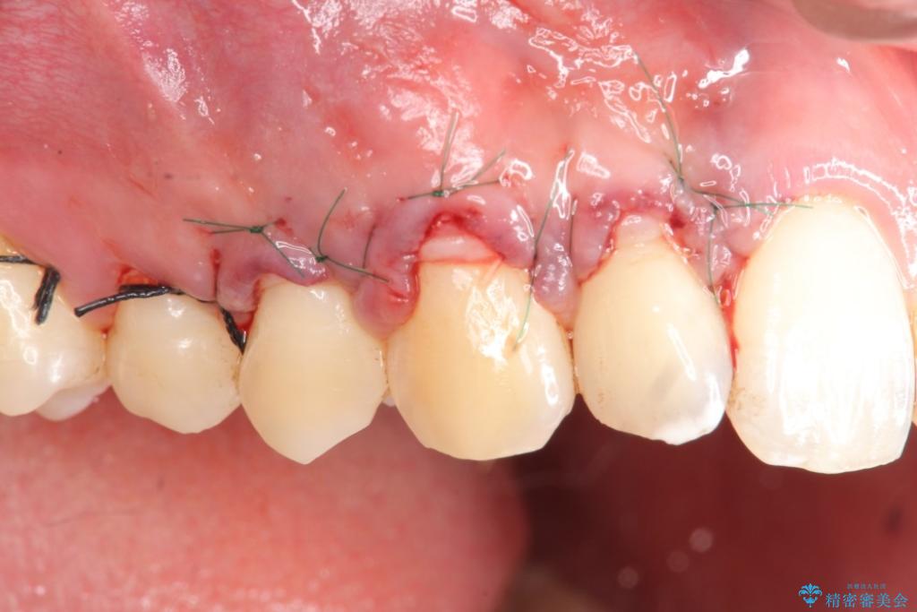
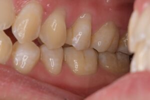
歯ぐきの下がりが気になる 歯肉移植による改善 医 精密審美会。

好きです: 9

歯茎が下がる 歯肉退縮 の原因は?治療法や費用も解説 - 初台の歯医者 岡歯科医院 可能な限り削らない・抜かない。

好きです: 164

歯茎が下がる「歯肉退縮」おりはら歯科医院。

好きです: 138

歯茎下がり 治療目白デンタルクリニック目白駅徒歩3分土日診療。

好きです: 479

歯肉退縮神戸市東灘区 富塚歯科医院 甲南山手駅徒歩3分。

好きです: 219

50代以上は「ほぼ全員」!?「歯ぐき下がり」の基礎知識毎日が発見ネット。

好きです: 258

症例 歯肉が下がった!根面被覆柏市の歯医者 ウィズ歯科クリニック 柏。

好きです: 455

歯石がつくと歯肉が下がる世田谷区千歳船橋駅2分の歯医者千歳船橋歯科。

好きです: 62

歯茎が下がるのはなぜ?理由と治療法なんばアップル歯科。

好きです: 136

歯茎が下がった時の戻し方・治療法西田辺 阿倍野区 の歯医者 歯周病西田辺えがしら歯科。

好きです: 409

八重歯の歯茎は下がりやすい? - 歯茎の再生で歯周病から歯を守る。

好きです: 415

歯列矯正後の歯茎下がりや歯茎の隙間を治す 歯周病専門医。

好きです: 234

歯茎が下がる」「歯が長くなる」ってどういうこと? 歯肉退縮について - 埼玉県さいたま市、大宮、浦和の入れ歯なら福永歯科医院。

好きです: 298

歯茎が下がる歯肉退縮の原因と治療法 - 南青山矯正歯科・審美歯科。

好きです: 342

No34 奥歯の歯茎再生 矯正後に歯茎が下がって虫歯になったケース - 神田ふくしま歯科。

好きです: 392

歯ぐき下がり 歯肉退縮 は治ります根面被覆術大阪で歯茎下がり治療の実績で選ぶなら当院へ。

好きです: 363

マウスピース矯正で歯茎が下がる?歯肉退縮の原因や下がった歯茎を元に戻す治療についてワイヤー矯正をしたくない方向けの大阪の専門医院。

好きです: 314

歯茎下がりブログ広島の矯正歯科専門『ののやま矯正歯科医院』。

好きです: 334

以下でより多くの画像をご覧ください:

歯茎下がり 画像
会社名
PhotoSaga
物理的な住所: 79236 結愛Corner, Suite 206, 400-8631, 海翔町, 奈良県, Japan
連絡先番号: +81 80-9625-9759