ビーバー歯とは (458 無料写真)

x

館山市・南房総市の歯医者・歯科痛みがなく、歯の予防から矯正歯科まで医療法人社団 A.I.Centric ビーバー歯科。

好きです: 296

浜松市動物園公式サイト わくわく!はまZOO NPO法人浜松市動物園協会。

好きです: 194

動物園の動物達も高齢化 11 げっ歯類の過長歯岡崎 好秀 先生モリタメールマガジン スマイル+ Plus歯科情報ポータルサイトデンタルプラザ。

好きです: 142

動物さんの歯スタッフブログ京都市北区西賀茂の歯医者ほりべ歯科クリニック。

好きです: 489

ビーバーの歯 - 島根大学標本資料類データベース。

好きです: 236

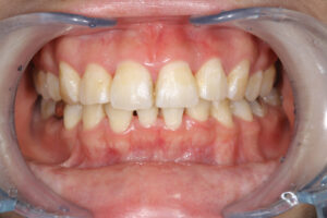
ビーバー歯になる原因は?歯並び矯正で治せる?梅田アップル歯科。

好きです: 343

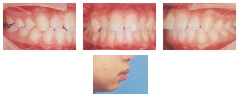
ビーバー歯の矯正治療法の特徴やメリットと費用、リスクまでご紹介矯正歯科ピュアリオ。

好きです: 251

ぼくの自慢の歯鳥羽水族館 飼育日記。

好きです: 270

やまこじ on X: "知ってました? ビーバーの歯はオレンジ色なんですよ東山動物園アメリカビーバーhttps:t.co nMYMo7hsXB"X。

好きです: 130

ビーバー歯の矯正治療法の特徴やメリットと費用、リスクまでご紹介矯正歯科ピュアリオ。

好きです: 329

ビーバー歯」はかわいい?それともコンプレックス?治療法とメリット・デメリットをやさしく解説365dentist。

好きです: 121

館山市・南房総市の歯医者・歯科痛みがなく、歯の予防から矯正歯科まで医療法人社団 A.I.Centric ビーバー歯科。

好きです: 95

赤とオレンジの歯を示すビーバー - ビーバーのストックフォトや画像を多数ご用意 - ビーバー, 歯, 見せる - iStock。

好きです: 42

那須どうぶつ王国 on X: "動物豆知識💡 ビーバーの歯のエナメル質には鉄分が多く含まれているのでオレンジ色をしてますちなみにオレンジなのは門歯だけで写真にも少し写ってますが奥歯は白色です🦫🦷 ㅤㅤㅤㅤㅤㅤㅤㅤㅤㅤㅤㅤㅤ那須どうぶつ王国nasuanimalkingdom。

好きです: 124

反っ歯、ビーバー歯とは? 歯並びの特徴やリスクをわかりやすく解説葛西モア矯正歯科葛西駅から徒歩0分・西葛西駅も徒歩圏内・江戸川区の矯正治療専門 歯科医院。

好きです: 72

アメリカビーバー日立市公式ウェブサイト。

好きです: 18

ビーバー歯は矯正できる?原因・治療法・費用まで徹底解説!マウスピース矯正・歯列矯正ブログ。

好きです: 499

歯と口の健康週間⑤鳥羽水族館 飼育日記。

好きです: 137

ビーバーちゃんって「あだな」なんです矯正歯科ネット。

好きです: 409

ビーバー歯の矯正による治療法や費用を解説ビーバー歯を放っておくリスクもご紹介します。

好きです: 491

マリンピア日本海だより 歯は強い!「アメリカビーバー」。

好きです: 299

ヨーロッパビーバーの歯29939540 の写真素材 - アフロ。

好きです: 494

ビーバー歯科 - ビーバー歯科 added a new photo — at ビーバー歯科。

好きです: 382

ビーバー歯の矯正治療法の特徴やメリットと費用、リスクまでご紹介矯正歯科ピュアリオ。

好きです: 104

ビーバー歯になる原因は?歯並び矯正で治せる?梅田アップル歯科。

好きです: 172

ビーバー歯になる原因は?歯並び矯正で治せる?梅田アップル歯科。

好きです: 104

ビーバー歯は矯正できる?原因・治療法・費用まで徹底解説!マウスピース矯正・歯列矯正ブログ。

好きです: 158

オレンジの歯を持つヌトリア - ビーバーのストックフォトや画像を多数ご用意 - ビーバー, 歯, ユーモア - iStock。

好きです: 265

ビーバーちゃんてあだ名なんです - 梅田北新地の歯医者かわさと歯科・矯正歯科 歯周病・セラミック。

好きです: 55

歯ブラシ 歯磨き まとめ買い 虫歯予防 Dr.ビーバー ギザギザカットハブラシ小さな山切り ふつう 5本入 : まるモール - 通販 -Yahoo!ショッピング。

好きです: 453

ビーバー歯の矯正治療法の特徴やメリットと費用、リスクまでご紹介矯正歯科ピュアリオ。

好きです: 263

アメリカビーバーいきもの図鑑ZOO CAN DREAM PROJECT。

好きです: 271

マリンピア日本海だより 歯は強い!「アメリカビーバー」。

好きです: 48

何色の歯?ニフレルをさらに詳しくニフレル。

好きです: 434

ビーバー歯の芸能人や矯正のメリット・デメリットについて徹底解説 公式スマイルモア矯正。

好きです: 490

ビーバー歯の芸能人や矯正のメリット・デメリットについて徹底解説 公式スマイルモア矯正。

好きです: 321

標本棚のラベル裏014 011+001+002歯:ビーバーとキリンとブタ - 生き物・学び・研究センターブログ京都市動物園。

好きです: 477

ビーバーの歯180497859 の写真素材 - アフロ。

好きです: 50

ビーバー歯になる原因は?歯並び矯正で治せる?梅田アップル歯科。

好きです: 447

マリンピア日本海だより 歯は強い!「アメリカビーバー」。

好きです: 302

ビーバー歯になる原因は?歯並び矯正で治せる?梅田アップル歯科。

好きです: 112

浜松市動物園公式サイト わくわく!はまZOO NPO法人浜松市動物園協会。

好きです: 412

ビーバー歯は矯正できる?原因・治療法・費用まで徹底解説!マウスピース矯正・歯列矯正ブログ。

好きです: 364

ビーバーの歯は一生伸び続けるから、長さを保つために常に物をかじり続けなきゃならないんだよね。もし手入れしないと、最終的に脳みそにまで歯が伸びちゃうんだって。: r Awwducational。

好きです: 294

ビーバー歯はかわいい?ビーバー歯の芸能人や治療方法 - 365 Dentist。

好きです: 126

beaver30.jpg。

好きです: 135

ビーバーちゃんてあだ名なんです - 梅田北新地の歯医者かわさと歯科・矯正歯科 歯周病・セラミック。

好きです: 264

ビーバー歯の矯正治療法の特徴やメリットと費用、リスクまでご紹介矯正歯科ピュアリオ。

好きです: 376

以下でより多くの画像をご覧ください:

ビーバー歯とは
会社名
PhotoSaga
物理的な住所: 79236 結愛Corner, Suite 206, 400-8631, 海翔町, 奈良県, Japan
連絡先番号: +81 80-9625-9759