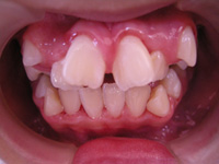
子供 歯茎の腫れ (478 無料写真)

x

子供も歯周病になりますか?コラム帯広市の歯科・歯医者は ますち歯科診療室。

好きです: 488

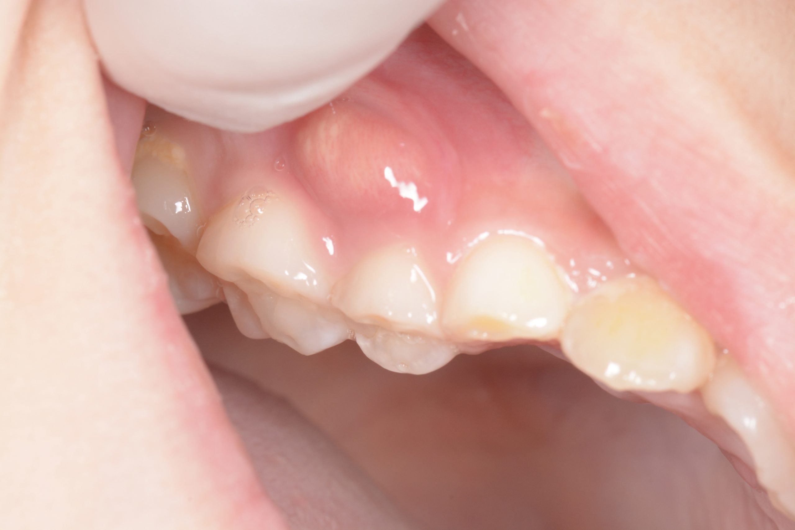
赤ちゃんの歯茎が腫れた時に疑われる病気医療コラム詳細全国の小児歯科・小児矯正が得意な歯科医院。

好きです: 292

子供の歯ぐきのトラブルこさか歯科クリニック 伊丹市、武庫之荘駅、歯科医院 口コミのある歯医者。

好きです: 245

歯茎の形や状態がおかしい? 歯肉増殖症とは?札幌駅北口すぐの歯医者 ポラリス歯科・矯正歯科。

好きです: 435

歯肉弁による虫歯発生のトラブルかなお矯正・小児歯科クリニック。

好きです: 446

歯の生え変わりで起こりやすい萌出性歯肉炎石塚歯科医院。

好きです: 37

歯肉炎とは?症状や原因、治療法を徹底解説! - 京都下鴨ライフ歯科・矯正歯科・小児歯科からのお知らせ。

好きです: 487

子どもの歯肉炎が急増!?4割が歯肉炎って本当? - 甲府市の歯医者なら、降矢歯科クリニック 歯科・矯正。

好きです: 144

エンゼル歯科神奈川県平塚市小児歯科専門赤ちゃんの歯熱が出た後、口の中が痛い。

好きです: 173

豊中市 クローバー歯科クリニック「歯ぐきが腫れた」あなたのお悩みを解決。

好きです: 480

7歳男の子「下の前歯の歯茎が腫れている。歯並びが悪い」口周りの筋肉の動きを改善するマウスピース式矯正装置「プレオルソ」とトレーニングで、噛み合わせと歯並びを改善した症例香川県丸亀の歯医者さんみらい歯科クリニック。

好きです: 243

歯茎の腫れ~炎症場所・原因に応じて処置~こちら診察室時事メディカル時事通信の医療ニュースサイト。

好きです: 219

歯茎が腫れて膿の袋ができた。痛い。東京都調布市の歯医者・歯科柴崎駅5分の柳沢歯科医院。

好きです: 303

守ってあげたい大切な歯 気をつけたい子どもの歯周病!?梅ヶ丘一丁目歯科世田谷区梅ヶ丘駅の歯医者。

好きです: 492

治療が終わった乳歯がはれてきたのはなぜ?大阪府吹田市千里山の歯科。

好きです: 176

歯茎の腫れは子供です。の写真素材・画像素材 Image 147436791。

好きです: 79

歯ぐきの腫れ、その原因と対処法 - 明石アップル歯科。

好きです: 380

3. むし歯以外の“よくあるトラブル”生えかわり期の歯みがきQ&A6〜12歳オーラルケア情報クリアクリーン花王株式会社。

好きです: 75

お子さんの歯ぐきが腫れてたら - アズ歯科 桶川院。

好きです: 452

小中学生の4割に歯肉炎?八潮の歯医者 - LeaLea歯科・矯正歯科クリニック。

好きです: 288

ハグキが痛い・腫れた専門サイト - 佐賀市の痛くない歯医者さん「佐賀ん歯科・こども歯科」。

好きです: 113

歯ぐきのケガも要注意!小児歯科なら目黒区祐天寺駅の歯医者、こどもの歯科へ。

好きです: 178

歯茎が腫れてる!萌出性嚢胞とは? - ワンダーランドデンタル亀戸の小児歯科・矯正歯科・一般歯科。

好きです: 391

歯茎が横から腫れてきた。ブログ市川市の妙典エリアの歯医者なら妙典歯科Nクリニック。

好きです: 134

エンゼル歯科 院長にっき : 子どもの歯が痛い。

好きです: 245

子供の外傷歯の症例 ふじみ野市ふじみ野駅近くの歯医者 歯科- ふじみ野きくち歯科クリニック。

好きです: 168

その腫れ、放置しないで!歯茎が腫れる7つの原因と今すぐできる対処法。

好きです: 52

乳歯の歯茎が腫れた場合 急性化膿性歯根膜炎について名古屋市北区の歯医者おくい歯科へ。

好きです: 224

歯茎がはれる! 子供の歯茎の腫れ 6つ原因と治療法 – さいたま市岩槻区審美歯科のスワンデンタルクリニック。

好きです: 435

押すと痛い歯茎の腫れはどう治す?アップル歯科伊丹駅前。

好きです: 478

赤ちゃんの歯茎にも腫れや出血がおこる?歯肉炎の対処法とは。

好きです: 216

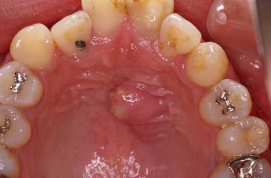
萌出嚢胞」とは!? 子どもの歯茎に黒紫の水ぶくれができたら!? - なごみ小児歯科クリニック。

好きです: 489

小学生の歯肉炎 - 福岡市の小児歯科・矯正歯科・障害者歯科 ふたつき子ども歯科ダイアリ。

好きです: 215

子どもの口の中の病気Ⅱ萌出性歯肉炎 がま腫 正中過剰埋伏歯の知識。

好きです: 32

7歳男の子「下の前歯の歯茎が腫れている。歯並びが悪い」口周りの筋肉の動きを改善するマウスピース式矯正装置「プレオルソ」とトレーニングで、噛み合わせと歯並びを改善した症例香川県丸亀の歯医者さんみらい歯科クリニック。

好きです: 462

中学生や高校生でも歯ぐきが腫れる❓福岡市南区の歯医者「ケンタロウ歯科・矯正歯科」。

好きです: 26

歯茎の腫れ - 原因と治し方について解説横浜市の歯医者LION歯科・矯正歯科。

好きです: 494

歯肉が腫れた?原因と対処法とは??? - 大阪市東淀川区上新庄の歯医者 かとう歯科クリニック。

好きです: 294

子供も歯周病になりますか?コラム帯広市の歯科・歯医者は ますち歯科診療室。

好きです: 208

ヘルペス性歯肉口内炎太田こどもとアレルギークリニック 新潟県長岡市の小児科・アレルギー科・内科。

好きです: 223

ハグキが痛い・腫れた専門サイト - 佐賀市の痛くない歯医者さん「佐賀ん歯科・こども歯科」。

好きです: 212

子どもの歯肉炎に注意!放置するリスクと対処方法。

好きです: 255

歯槽膿瘍山田歯科医院Blog。

好きです: 210

歯茎の腫れ~炎症場所・原因に応じて処置~こちら診察室時事メディカル時事通信の医療ニュースサイト。

好きです: 64

みよし市でお子様の歯肉炎ならはな歯科こども歯科クリニック。

好きです: 373

歯茎が炎症を起こすのはなぜ?枚方くずはアップル歯科。

好きです: 292

こどもの歯肉炎に注意!原因や予防法を詳しく解説。

好きです: 399

歯茎の腫れの原因は細菌感染歯内療法 根管治療 ウィキペディア。

好きです: 182

子どもの歯茎の腫れが気になったら小児歯科へ大森駅の歯科・歯医者 大森わたなべ歯科。

好きです: 8

子どもの歯肉炎が急増!?4割が歯肉炎って本当? - 甲府市の歯医者なら、降矢歯科クリニック 歯科・矯正。

好きです: 261

押すと痛い歯茎の腫れはどう治す?アップル歯科伊丹駅前。

好きです: 191

歯茎が腫れて痛い ~その原因と治療法~札幌駅北口すぐの歯医者 ポラリス歯科・矯正歯科。

好きです: 57

歯ぐきの病気小児歯科。

好きです: 390

歯茎が腫れて膿が出る原因と対処 画像あり西田辺 阿倍野区 の歯医者 歯周病西田辺えがしら歯科。

好きです: 442

子供の歯茎の腫れや膿を繰り返す原因と治療法岸和田のくすべ歯科。

好きです: 354

歯茎の腫れ~炎症場所・原因に応じて処置~こちら診察室時事メディカル時事通信の医療ニュースサイト。

好きです: 315

子供も歯茎が腫れる!?子供の歯肉炎ワハハキッズデンタルみやけ歯科。

好きです: 402

ハグキが痛い・腫れた専門サイト - 佐賀市の痛くない歯医者さん「佐賀ん歯科・こども歯科」。

好きです: 115

ヘルペス性歯肉口内炎太田こどもとアレルギークリニック 新潟県長岡市の小児科・アレルギー科・内科。

好きです: 194

子どもは歯周病になる?大人からうつる可能性は?原因や予防する方法。

好きです: 282

歯肉が赤くなっているのはナゼ?福岡市東区八田・土井の総合歯科医院青葉イーストコート歯科・こども歯科。

好きです: 486

歯茎が腫れる病気と歯周病が原因だったときの対処法歯周病治療なら東京国際クリニック 歯科。

好きです: 268

歯ぐきにできもの?坂井おとなこども歯科。

好きです: 210

歯茎」のチェックポイント4選!歯だけでなく子供の歯茎の病気も予防しよう! - なごみ小児歯科クリニック。

好きです: 196

こどもの歯肉炎に注意!原因や予防法を詳しく解説。

好きです: 268

子供のはぐきが腫れる? - 岩見沢の歯医者なら鳩が丘歯科クリニック矯正・インプラントに実績。

好きです: 255

ハグキが痛い・腫れた専門サイト - 佐賀市の痛くない歯医者さん「佐賀ん歯科・こども歯科」。

好きです: 8

以下でより多くの画像をご覧ください:

子供 歯茎の腫れ
会社名
PhotoSaga
物理的な住所: 79236 結愛Corner, Suite 206, 400-8631, 海翔町, 奈良県, Japan
連絡先番号: +81 80-9625-9759